— 口腔健康·全身健康 —
说到看牙的口腔门诊
品牌和技术是最重要的
毕竟是和全身健康息息相关
牙病伤脑筋 口腔找人医
荆门人都知道
40年技术沉淀
荆门市最早的口腔专科
历经一次又一次创新和突破
2024年1月初
荆门市人民医院综合楼启用!
口腔科完成整体搬迁
新址诊疗面积1000余平米
▶精彩开启◀
荆门市人民医院口腔科


荆门市人民医院口腔科
门诊提质扩容、服务升级
由原门诊3楼搬迁至综合楼7楼
我们将以全新的环境和贴心的服务
为您提供更加舒适、愉悦的口腔医疗服务


全新升级的口腔科环境舒适、优雅、大方,布局更为科学合理、功能更加完善齐全。开设口腔颌面外科、牙体牙髓科、口腔种植修复科、儿童牙病科、口腔正畸科、牙周科等6个亚专业,每个亚专业都拥有自己的核心特色技术。

一人一诊室
一人一器械
杜绝交叉感染
搬迁扩容后的口腔科医疗感染管理更为严格,设有22间独立诊疗间,2间现代化手术间,3间口腔影像诊断室,配有大型候诊室、会议室及休息室。配置全新的诊疗设备和医疗用品的同时,科室建设了宽敞的候诊大厅为患者提供更为舒适的就诊环境。


▲专家诊疗室及正畸诊室区
现有口腔cbct机、超声骨刀、cgf血液离心机、微创洁牙机、根管显微镜,另新引进3d扫描仪、负压抽吸系统、活氧水消毒机、牙科微动力系统、牙周探针、电刀、激光治疗仪等高精尖设备。
开展特色治疗项目:显微根管治疗、仿真美学修复、贴面、乳前牙树脂冠、儿童全麻治疗技术、预成冠、活髓切断术、各类型牙缺失的种植固定修复、隐形矫正术、青少年早期矫治、复杂型牙周病系统性治疗、各类型埋伏牙及根尖颌骨囊肿的微创手术、颞下颌关节疾病等。

▲配备微动力拔牙系统、电子牙周探针的口腔手术室
秉承“博爱 责任 合作 创新
患者至上”的服务理念
在市人民医院综合楼正式启动之际
口腔科洗牙/补牙/种牙 7 大优免活动
时间:即日起—2024年1月31日

被口腔问题困扰的小伙伴们
来市人民医院口腔科
跟牙齿问题SAY BYE吧~
到院就诊无需长时间等待
即可开启“一站式”口腔检查+治疗
免费口腔检查、治疗方案设计
进行基础口腔检查(可免费拍普通牙片),平时您看不见的一些牙齿问题都会了解得一清二楚。同时,免费为您设计、建议最佳的“个性化”治疗方案,早期发现牙齿/口腔问题,及早进行干预、治疗。

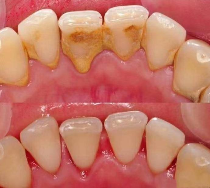
半价/优惠20%洁牙(洗牙)/牙周基础治疗
洁牙,俗称洗牙,专业术语是龈上洁治术,是指使用专业洁治工具清理患者口腔内龈上牙石、色素、菌斑,并抛光牙面的一种诊疗方法。其目的是预防口腔疾病,减轻牙龈炎、牙周炎的炎症程度。

一般来说,半年到一年去正规医疗机构进行一次洗牙是比较合适的。其实,洗牙的过程也是一个口腔检查的过程,医生们能够及时发现患者口腔内出现的问题,并且尽快进行干预和诊疗。
洗牙有什么好处?
1.维护口腔卫生:洗牙可以清除牙齿表面的污垢,磨光牙齿表面,使其恢复自然光泽,并消除口腔异味。
2.预防口腔疾病:洗牙一般是利用超声波洁牙机的高频振动,去除牙龈上的牙结石、菌斑和色渍,从而有效预防或缓解牙龈出血、牙齿松动等牙周疾病。
3.预防胃部疾病:口腔是幽门螺杆菌的良好生存环境,洗牙可以有效预防幽门螺杆菌进入胃内,从而降低慢性胃炎、消化性溃疡、胃癌等疾病的患病几率。

▲洗牙前后对比
优惠10%补牙/牙齿修复/根管治疗
俗话说:小洞不补,大洞吃苦!
龋齿(俗称“蛀牙”)若不进行及时治疗,从浅龋发展到深龋,对冷热酸甜等食物刺激敏感,当损伤到达牙髓时,引起牙髓炎,此时牙痛会十分严重。进而会引起根尖炎、根尖周脓肿,甚至颌骨骨髓炎,牙齿脱落缺失。

“坏牙”如何补?
1.简单补牙
症状:蛀牙,牙齿龋坏;坏了一点的;没有伤到神经,没有自发疼痛的。像这种只需要补牙就行了。
应对方式:简单补牙即可。

2.根管治疗+补牙
症状:龋坏缺损较大;有自发疼痛,刺激疼;这种说明已达牙神经,神经已经感染发炎,无法挽回,需要做根管治疗,然后再补上。
应对方式:根管治疗+补牙,前牙根管+普通树脂,后牙根管+进口树脂

荆门市人民医院口腔科主任吴富强提醒:只要发现龋洞,不管大小、深浅、部位一定要及时修补。因为,龋齿不会消失,只会越来越严重!
半价乳前牙透明树脂冠
儿童前牙环状的大面积龋坏(低龄儿童常见奶瓶龋),如果不予及时处理,不仅仅是影响美观,更主要还影响儿童咀嚼功能和发音功能,进一步发展下去还会影响到孩子的性格和社交信心。
那么,有没有可以让小朋友的黑牙变白牙?让小朋友重拾自信的秘密武器呢?

“乳前牙透明预成冠”就是您想要的答案。针对龋坏的乳前牙,装上一种对儿童乳牙修复的、预先成型的人工牙冠,前牙可以使用树脂材料的透明预成冠。一来保护乳牙,延长乳牙的使用时间,恢复正常咬合关系,二来降低乳牙继发龋齿的概率,使得控龋效果更理想。同时,还能确保恒牙顺利萌出,起到保护恒牙作用。


▲修复前后对比
立减500-1000元种植牙/牙齿固定矫正
很多人都觉得,只有老年人才需要种牙,实则不然,现在中年人甚至是年轻人,有缺牙状况的比比皆是。
很多人现在面临缺牙问题,不仅影响口腔美观,而且严重影响生活质量,面对这种问题,过去可能需要镶牙,大部分人选择活动义齿,但随着技术的发展,种植牙慢慢成为很多牙齿缺失患者的首选。

荆门市人民医院口腔科提醒:
种植牙只是一种治疗方式,具体种牙方案还需要专业医生进行评估。但是缺牙后一定要及时到医院进行治疗,如果缺牙时间长了,还会出现邻牙向缺牙区倾斜、对颌牙伸长到缺牙间隙、缺牙区牙槽骨渐进性萎缩等问题,从而造成更严重的损伤。
牙好 味口就好!
让人生不留遗憾
口腔科 6 个亚专科简介
颌面外科开展计算机无痛麻醉、各种复杂智齿微创拔除术,开设了荆门首个颞下颌关节门诊,采用注射治疗和咬合板治疗颞下颌关节紊乱病起到了较好的疗效。同时还开展根尖囊肿、颌骨囊肿的手术治疗。
牙体牙髓科常规开展显微根管治疗、根管内折断器械取出以及显微根尖外科手术,通过显微镜医生能够看清牙齿内部的细微结构,减少治疗的不确定性,极大提高治疗成功率。还开展前牙美学树脂充填、外伤牙再植、牙髓血运重建术等治疗技术。
种植修复科开展各类牙及牙列的缺损、缺失的各种修复治疗,包括前牙美学修复、吸附性义齿、瓷贴面修复、附着体、各类活动义齿以及咬合重建技术。以及即刻种植和即刻修复技术、骨量不足的软硬组织增量技术、上颌窦底提升种植技术等。
正畸科治疗包括牙齿排列不齐、龅牙、地包天等牙颌面畸形的诊断治疗。主要有儿童和青少年乳牙列和混合牙列的早期预防性矫治,成人和青少年综合正畸治疗等。开展直丝弓、自锁矫治技术、种植支抗矫治技术以及无托槽隐形矫治技术等各类矫治技术。
儿童牙病科率先开展早期错颌畸形的早期干预矫治,乳牙及年轻恒牙外伤的序列治疗,前牙透明树脂冠、活髓切断术、牙髓血运重建术以及乳牙早失的间隙管理等治疗。
牙周科主要治疗以牙龈出血、牙松动等主要表现的各类牙周病。坚持规范化牙周病系统治疗,开展牙周基础治疗及各种牙周手术如牙周翻瓣刮治术、截根术、冠延长术和牙周膜龈手术,此外还开展牙周牙髓联合治疗、牙周正畸联合治疗等多学科治疗技术。
咨询电话:0724-6903087
来源:荆门市人民医院
本文为推广
编辑:琳达
二审:黄韶光
三审:彭良银